"Vaša udobnost nam je prvi prioritet. Čuvanjem vaših prirodnih zuba i korišćenjem najnovijih, nežnih tehnika, pomažemo vam da se brže oporavite i da vaš osmeh izgleda i oseća se najbolje."
— Dr. Cvijić
"Sada se osećam fantastično!! Nikada nisam zamišljala da ću se moći nasmejati bez straha kako me ljudi doživljavaju."
— Zadovoljna Pacijentkinja
"Ovo je slučaj na koji sam najponosniji. Radeći sa menadžerom avio-kosmičke agencije NASA, ovaj slučaj je zahtevao 14 Straumann implantata, 30 Cirkonijumskih Venira/Overlej Nemačka i 2 Sinus Liftinga. Bio je to dug projekat, ali rezultati govore sami za sebe."
— Dr. Cvijić
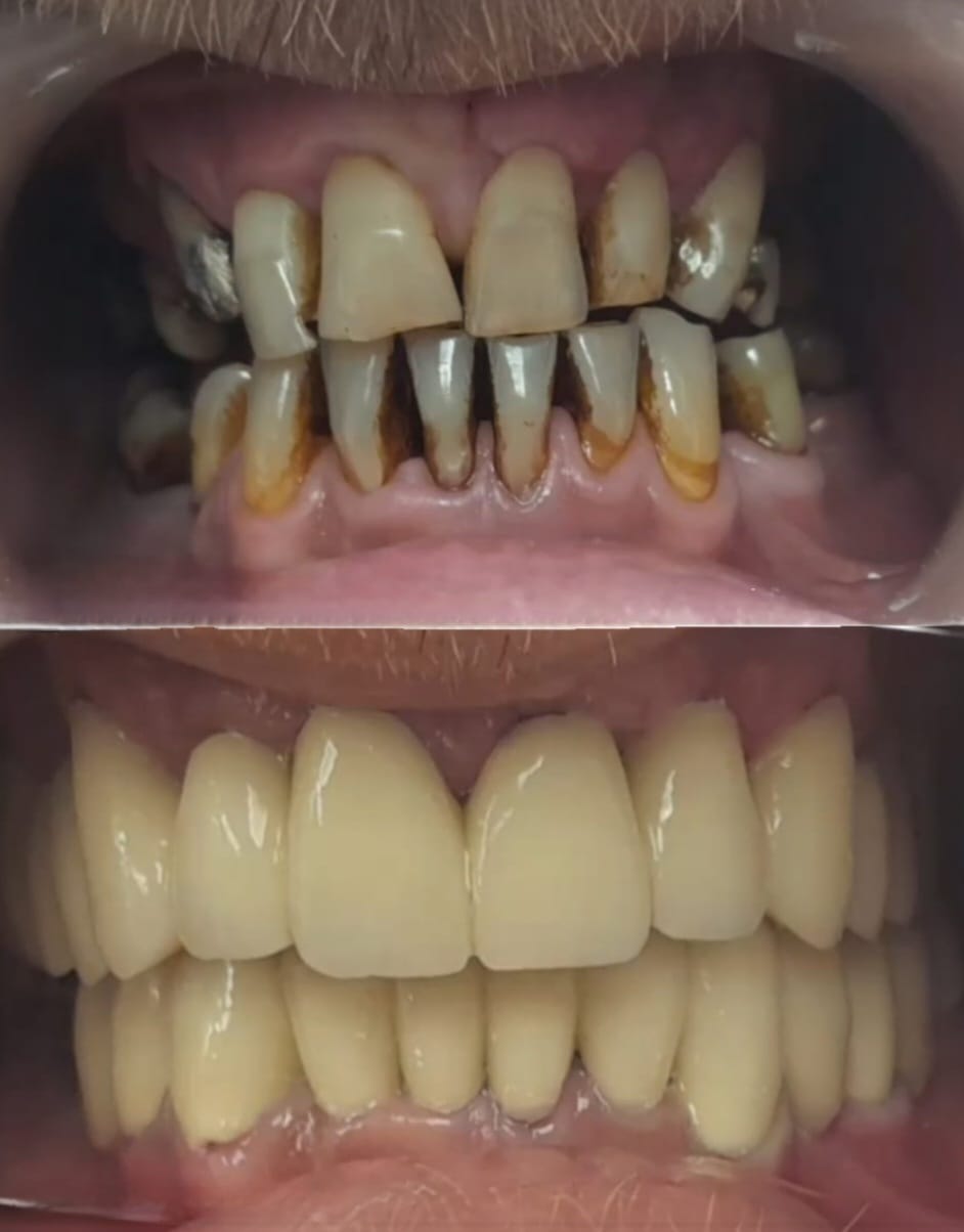
"U životu nisam znala važnost oralne higijene. Uvek sam imala vrlo stresan način života, puno radim i pušim cigarete. Bojala sam se da je moja situacija nepovratna. Nikada nisam očekivala da će moji zubi izgledati ovako dobro kao sada!!"
— Zahvalna Pacijentkinja
Iako smo specijalizovani za složene transformacije, naša filozofija je izgrađena na temelju opšte i preventivne stomatologije svetske klase. Od sveobuhvatnih pregleda i čišćenja do plombi i lečenja korena zuba, pružamo kompletnu negu kako bismo osigurali da vaš osmeh bude ne samo lep, već i zdrav tokom celog života.
Vaša udobnost nam je na prvom mestu. Sve procedure se izvode sa efikasnom lokalnom anestezijom, tako da nećete osećati bol. Za složenije tretmane, nudimo opcije sedacije kako bismo osigurali da ste potpuno opušteni. Većina pacijenata je prijatno iznenađena koliko je proces ugodan.
Cena se određuje na osnovu vaših jedinstvenih potreba. Jednostavan veniri se veoma razlikuje od kompletne restauracije cele vilice. Nakon vaše početne konsultacije i digitalnog snimanja, Dr. Cvijić će kreirati detaljan, stavku po stavku plan tretmana sa jasno objašnjenim svim troškovima. Nema skrivenih naknada ili iznenađenja.
Apsolutno. U stomatologiji, materijali nisu svi jednaki. Vrhunski švajcarski implantati imaju decenije kliničkih istraživanja koja dokazuju njihovu dugotrajnost i visoke stope uspeha. Vrhunska nemačka keramika (poput E.max) nudi najbolju kombinaciju čvrstoće i prirodne prozirnosti za krunice i venire. Koristimo samo materijale kojima bismo verovali za naše porodice.
Vaš novi osmeh je bliže nego što mislite. Kontaktirajte nas danas da zakažete vašu besplatnu konsultaciju sa Dr. Cvijić i otkrijte šta je sve moguće.
Zakažite Vašu Konsultaciju