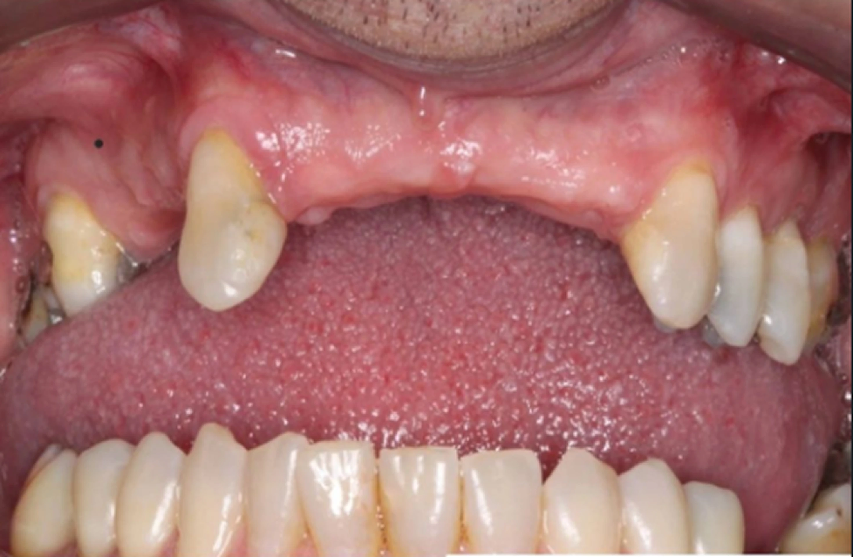
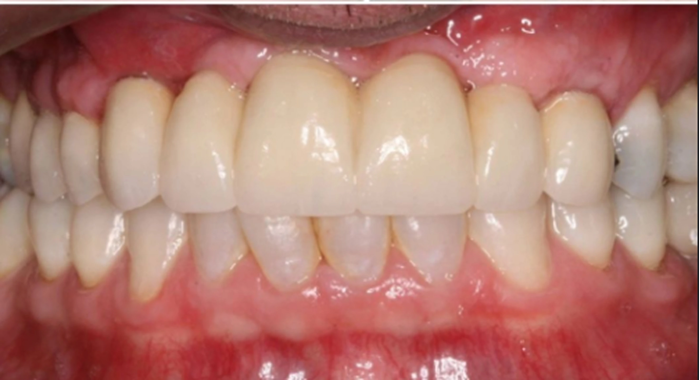
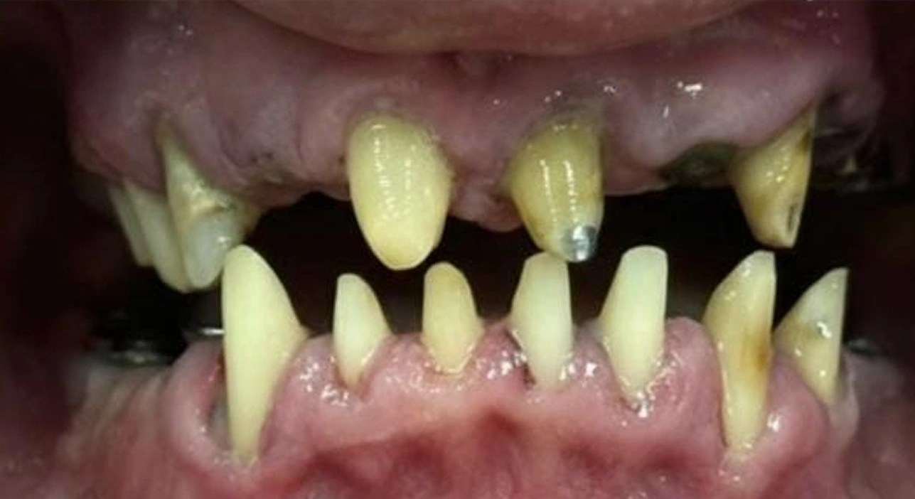
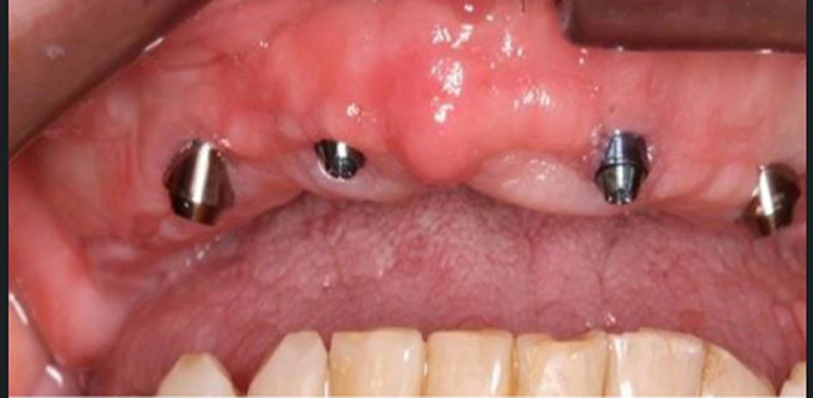
Naše Transformacije
Gde naša strast da pomažemo drugima zaista postaje vidljiva kroz našu umetnost, osiguravajući da prirodna lepota lica svakog pacijenta bude reflektovana na njihovim zubima
ŠVAJCARSKI IMPLANTATI
NEMAČKA KERAMIKA
BRAZILSKA ESTETIKA
"Moja najveća nagrada je videti samopouzdanje koje novi osmeh donosi mojim pacijentima i kako im menja život."
Sa preko 30 godina istaknutog iskustva, Dr. Gojko Cvijić je oblikovao modernu stomatologiju i kao praktičar i kao akademik, budući bivši profesor na najboljim univerzitetima u državi Sao Paulo i predavač na ITI Svetskom Kongresu. Njegova karijera odražava ne samo neprikosnovenu stručnost već i posvećenost inovacijama i preciznosti. Spajanjem svega, savršena formula je nastala i sada je dostupna svima.
"Vaš osmeh zaslužuje najfiniju negu — a zaslužujete je i vi. Ako u bilo kom trenutku osetite nelagodnost, mi stajemo. Bez oklevanja, bez izuzetaka. Jer pravi luksuz u stomatologiji nije samo u preciznosti i estetici, već u miru uma da ste uvek sigurni, saslušani i poštovani."
Doživotna, stabilna zamena zuba koristeći preciznost implantata svetske klase.
Usavršavanje vašeg osmeha sa umetničkim fokusom na prirodnu harmoniju i lepotu.
Stručna nega za desni i kost koje čine suštinski temelj vašeg osmeha.
Majstorsko obnavljanje oštećenih zuba izdržljivim, prilagođenim krunicama, mostovima i venirima.
Da. Iako smo specijalizovani za naprednu implantologiju i estetiku, pružamo i pun spektar opšte i preventivne stomatologije, uključujući preglede, čišćenje, plombe i lečenje korena zuba. Verujemo u sveobuhvatnu negu za vaše doživotno dentalno zdravlje.
Gde naša strast da pomažemo drugima zaista postaje vidljiva kroz našu umetnost, osiguravajući da prirodna lepota lica svakog pacijenta bude reflektovana na njihovim zubima
Vaša udobnost nam je na prvom mestu. Sve procedure se izvode sa efikasnom lokalnom anestezijom, tako da nećete osećati bol. Za složenije tretmane, nudimo opcije sedacije kako bismo osigurali da ste potpuno opušteni. Većina pacijenata je prijatno iznenađena koliko je proces ugodan.
Cena se određuje na osnovu vaših jedinstvenih potreba. Jednostavan veniri se veoma razlikuje od kompletne restauracije cele vilice. Nakon vaše početne konsultacije i digitalnog snimanja, Dr. Cvijić će kreirati detaljan, stavku po stavku plan tretmana sa jasno objašnjenim svim troškovima. Nema skrivenih naknada ili iznenađenja.
Surađujemo sa svim glavnim PPO planovima osiguranja i rado ćemo podneti vaš zahtev u vaše ime kako bismo maksimalno iskoristili vaše beneficije. Takođe nudimo fleksibilne opcije finansiranja preko pouzdanih nezavisnih pružalaca, omogućavajući vam da podelite troškove na upravljive mesečne uplate koje odgovaraju vašem budžetu.
Prvi korak je konsultacija. Sastaćete se sa Dr. Cvijićem kako biste razgovarali o vašim ciljevima i brigama. Uradićemo digitalne fotografije i 3D CBCT skeniranje kako bismo dobili kompletnu sliku vašeg zdravlja. Odatle ćemo zajednički dizajnirati personalizovani plan tretmana, pokazujući vam sve mogućnosti — od estetskih venira do implantata.
Apsolutno. U stomatologiji, materijali nisu svi jednaki. Vrhunski švajcarski implantati imaju decenije kliničkih istraživanja koja dokazuju njihovu dugotrajnost i visoke stope uspeha. Vrhunska nemačka keramika (poput E.max) nudi najbolju kombinaciju čvrstoće i prirodne prozirnosti za krunice i venire. Koristimo samo materijale kojima bismo verovali za naše porodice.
Naša posvećenost je dugoročnom uspehu. Stojimo iza našeg rada i nudimo garanciju na zadovoljstvo. Iako se specifične garancije razlikuju u zavisnosti od procedure (npr., 5 godina za krunice/venire, doživotna od proizvođača za implantate), naš glavni cilj je da osiguramo da vaša restauracija bude funkcionalna, lepa i izdržljiva godinama koje dolaze.