Our Transformations
Where our passion for helping others truly becomes visible through our art, ensuring the natural facial beauty of each is reflected on their teeth
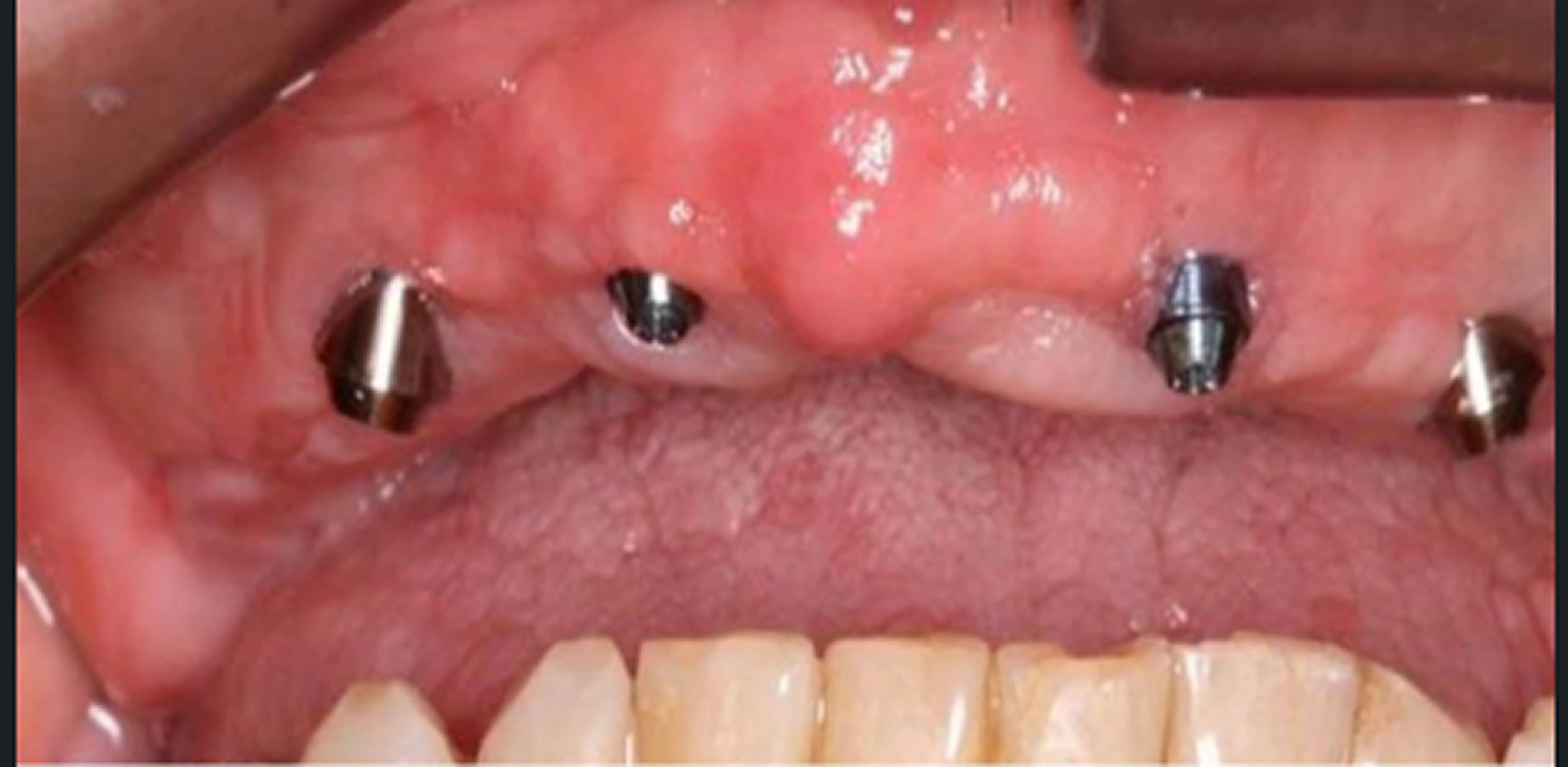
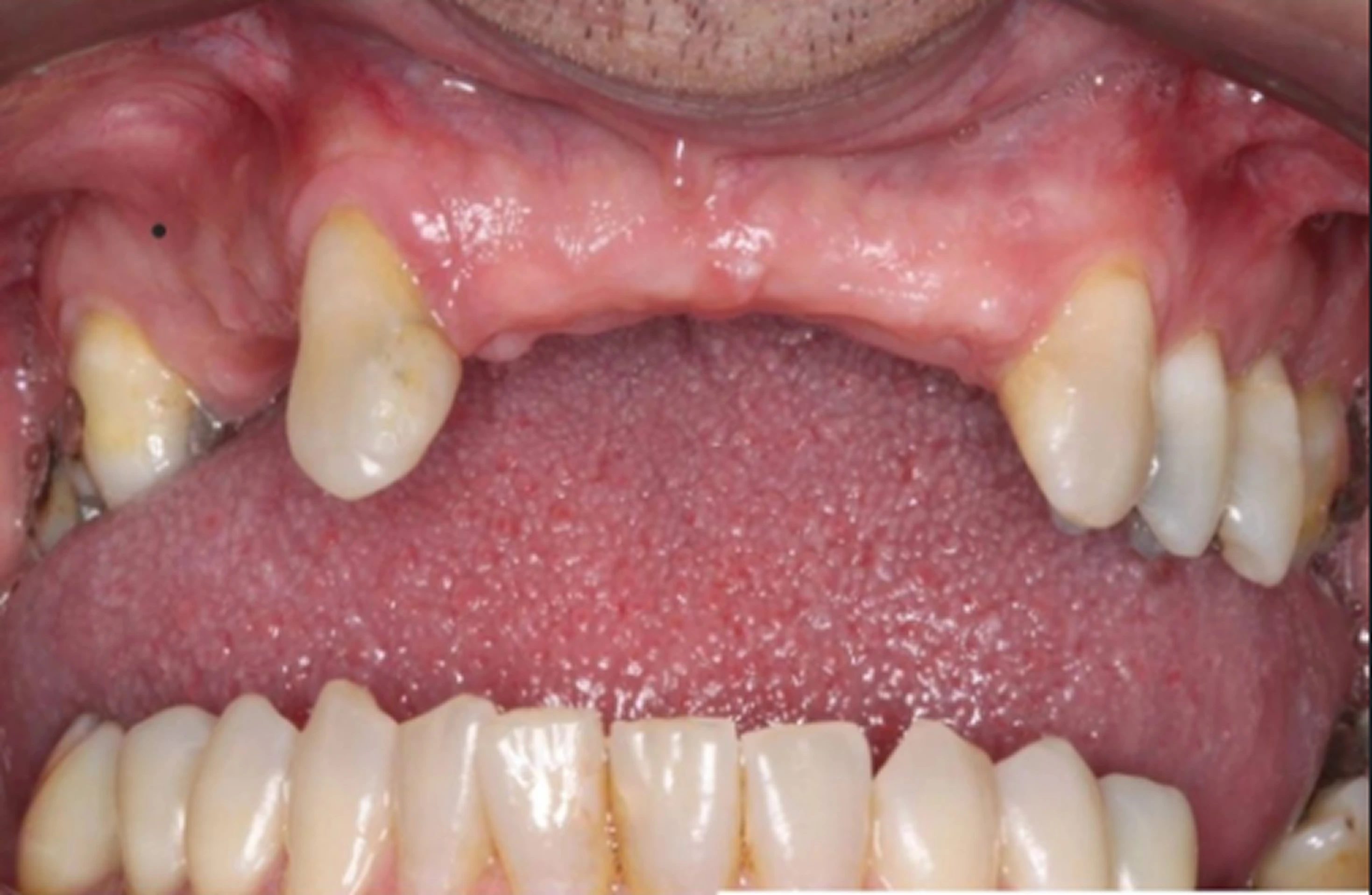
SWISS IMPLANT
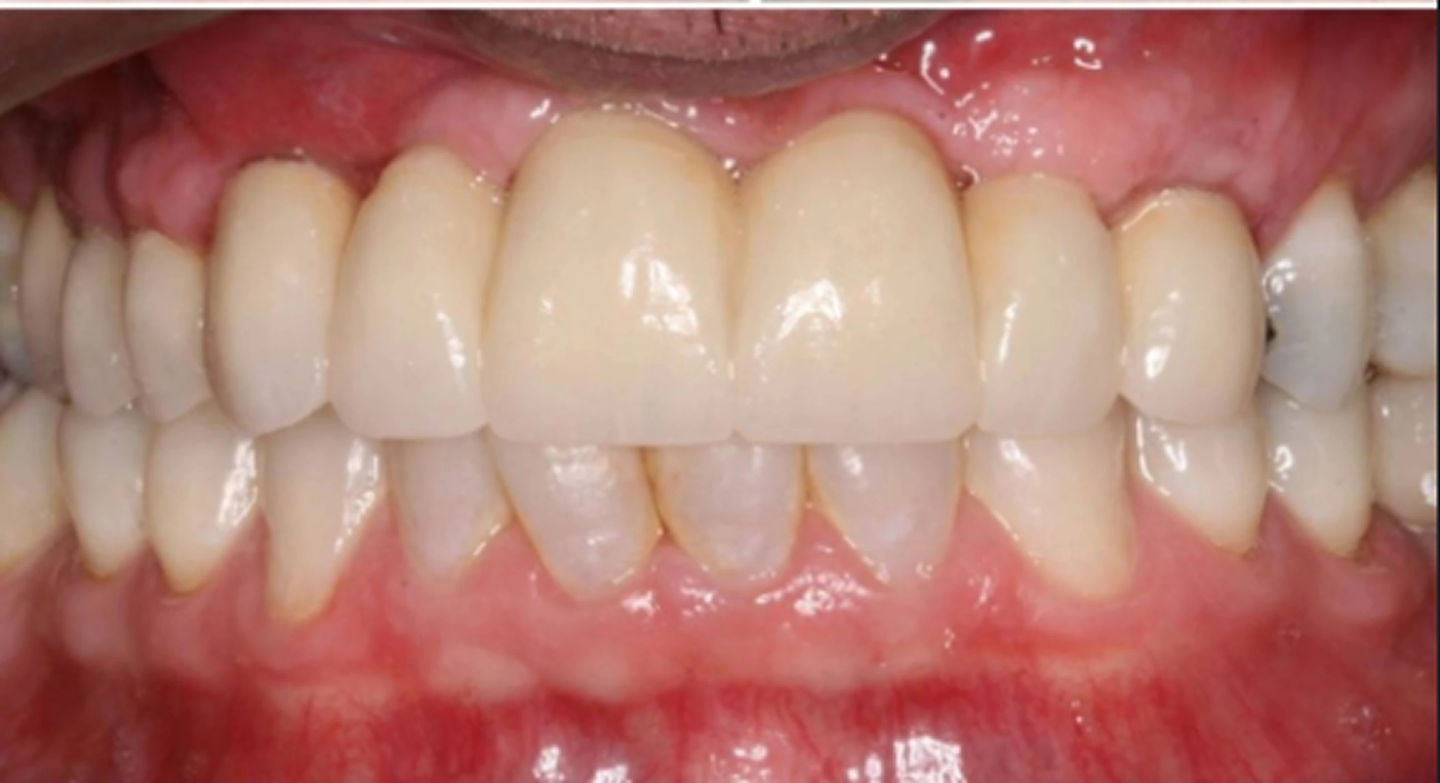
GERMAN CERAMIC
BRAZILIAN ESTHETIC
"My greatest reward is seeing the life-changing confidence a new smile can bring to my patients."
With over 30 years of distinguished experience, Dr. Gojko Cvijic has shaped modern dentistry as both a practitioner and an academic, being a former professor at the best universities in the state of Sao Paulo and lecturing on ITI World Congress . His career reflects not only unrivalled expertise but also a commitment to innovation and precision. Blending everything together the perfect formula has risen and is now available to all.
"Your smile deserves the finest care — and so do you. If at any moment you feel discomfort, we stop. No hesitation, no exception. Because true luxury in dentistry is not only in precision and aesthetics, but in the peace of mind that you are always safe, heard, and respected."
Lifelong, stable tooth replacement using world-class implant precision.
Perfecting your smile with an artistic focus on natural harmony and beauty.
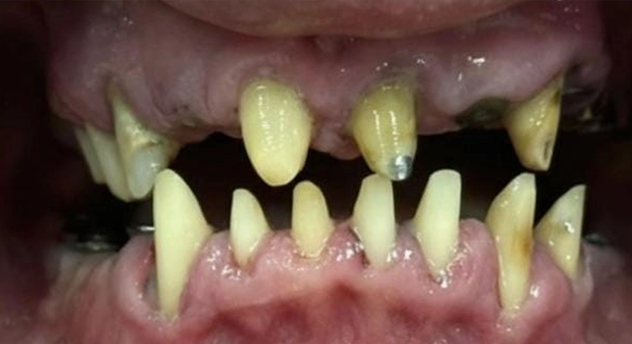
Expert care for the gums and bone that form the essential foundation of your smile.
Masterfully restoring damaged teeth with durable, custom-fit crowns, bridges, and veneers.
Yes. While we specialize in advanced implantology and esthetics, we also provide a full range of general and preventive dentistry, including check-ups, cleanings, fillings, and root canal treatments. We believe in comprehensive care for your lifelong dental health.
Where our passion for helping others truly becomes visible through our art, ensuring the natural facial beauty of each is reflected on their teeth
We prioritize your comfort above all else. All procedures are performed with effective local anesthesia, so you won't feel pain. For more complex treatments, we offer sedation options to ensure you are completely relaxed. Most patients are pleasantly surprised by how comfortable the process is.
The cost is determined by your unique needs. A simple veneer is very different from a full-mouth restoration. After your initial consultation and digital scan, Dr. Cvijic will create a detailed, itemized treatment plan with all costs clearly explained. There are no hidden fees or surprises.
We work with all major PPO insurance plans and will gladly file your claim for you to maximize your benefits. We also offer flexible financing options through trusted third-party providers, allowing you to break up the cost into manageable monthly payments that fit your budget.
The first step is a consultation. You'll meet with Dr. Cvijic to discuss your goals and concerns. We will take digital photos and a 3D CBCT scan to get a complete picture of your health. From there, we will co-design a personalized treatment plan, showing you all the possibilities—from esthetic veneers to implants.
Absolutely. In dentistry, materials are not all created equal. Premium Swiss implants have decades of clinical research proving their longevity and high success rates. Top-tier German ceramics (like E.max) offer the best combination of strength and natural translucency for crowns and veneers. We only use materials we would trust for our own families.
Our commitment is to long-term success. We stand behind our work and offer a satisfaction guarantee. While specific warranties vary by procedure (e.g., 5 years for crowns/veneers, lifetime for implants from the manufacturer), our main goal is ensuring your restoration is functional, beautiful, and durable for years to come.