Clinic Logo

"TRUE DENTAL TRANSFORMATIONS ARE NOT ABOUT CHANGING WHO YOU ARE, BUT ABOUT REVEALING THE BEST VERSION OF YOU."

– DR CVIJIĆ

Your smile is more than aesthetics — it is a mirror of your health, your care for yourself, and your unique identity. Healthy teeth don't just frame your face; they empower your confidence, uplift your spirit, and shape the way the world sees you.

— DR CVIJIĆ

With our formula, there is no case we can not solve. We preserve your individuality while elevating your wellbeing. The result is not just a smile, but a renewed life: healthier, brighter, and undeniably yours.

Dr. Cvijić in surgical loupes

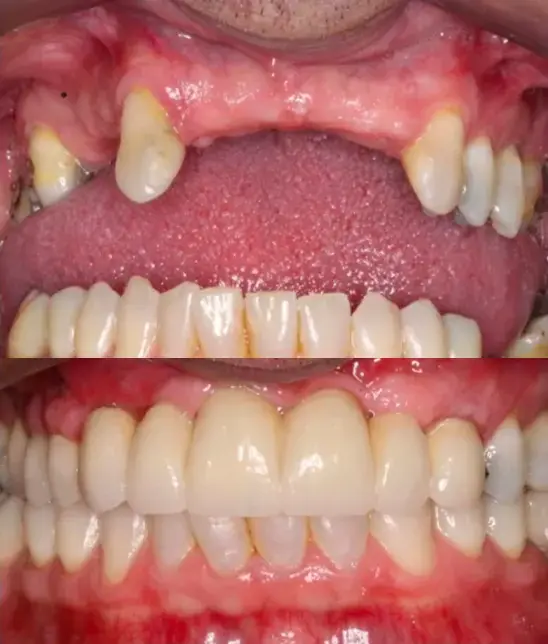
No Teeth, No Smile, No Problem!!

With a few implants, we will give you the self esteem you had when you were in your twenties.

Restoration Case 1

Case 1

Restoration Case 2

Case 2

Begin Your Transformation

Your new smile is closer than you think. Contact us today to schedule your risk-free consultation with Dr. Cvijić and discover what's possible.

Book Your Consultation