Logo Ordinacije

"PRAVE DENTALNE TRANSFORMACIJE NISU U MENJANJU ONOGA ŠTO JESTE, VEĆ U OTKRIVANJU NAJBOLJE VERZIJE VAS."

– DR CVIJIĆ

Vaš osmeh je više od estetike — on je ogledalo vašeg zdravlja, vaše brige o sebi i vašeg jedinstvenog identiteta. Zdravi zubi ne samo da uokviruju vaše lice; oni osnažuju vaše samopouzdanje, podižu vaš duh i oblikuju način na koji vas svet vidi.

— DR CVIJIĆ

Sa našom formulom, ne postoji slučaj koji ne možemo rešiti. Čuvamo vašu individualnost dok unapređujemo vaše blagostanje. Rezultat nije samo osmeh, već obnovljen život: zdraviji, sjajniji i nesumnjivo vaš.

Dr. Cvijić u hirurškim lupama

Bez Zuba, Bez Osmeha, Bez Problema!!

Sa samo nekoliko implantata, vratićemo vam samopouzdanje koje ste imali kada ste bili u svojim dvadesetim godinama.

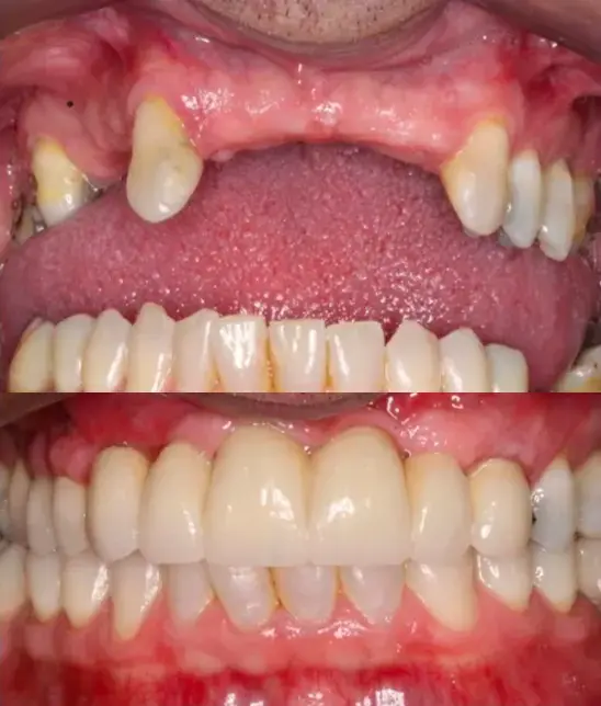
Restauracija Slučaj 1

Slučaj 1

Restauracija Slučaj 2

Slučaj 2

Započnite Vašu Transformaciju

Vaš novi osmeh je bliže nego što mislite. Kontaktirajte nas danas da zakažete vašu besplatnu konsultaciju sa Dr. Cvijić i otkrijte šta je sve moguće.

Zakažite Vašu Konsultaciju